Make cosmetic concerns, from chips to gaps, disappear! Embrace bonding for a fast, affordable smile boost

Avanti Dentistry appreciates that some of the world’s most talented doctors practice in the greater Northern Virginia and the D.C. area; however, you would be hard-pressed to find the breadth of specialized expertise available at our Tysons office. Due to our unique level of technical experience and our considerable investments in the latest technologies, patients have peace of mind that all procedures will be performed safely, precisely, comfortably, and in a manner that supports the long-term esthetics, function, and health of the teeth, gums, and supportive tissues and structures of the mouth. 

In turn, cosmetic dentistry services like dental bonding are planned, designed, and performed to ensure a pleasant experience and utmost patient satisfaction with the results of this non-invasive, tooth-preserving, economical, and fast procedure. 

Bonding basics

Dental bonding is generally advised for patients with cosmetic imperfections. Consider how even one chipped or irregularly-sized tooth can affect the appearance of the whole smile. Our talented dentists, Dr. Farshad Farhoumand and associates, prepare a tooth-like dental material and apply it to the surface of the visible teeth. Once the material, typically a composite resin, is secured to the front surface, it covers up the imperfection. 

As noted, our team is adept at preserving, restoring, and rebuilding teeth in a way where the treated or altered tooth looks indistinguishable from its natural neighbors. We take great care to perfectly color match the shade of the composite. So it blends in well with the rest of the tooth and the neighboring teeth. Furthermore, our dentists’ significant training and artistic skill comes in handy when shaping and applying the composite to the tooth. 

The material is malleable or putty-like when first applied to the tooth, which makes the actual process of covering up chipped, cracked, stubbornly stained, gapped-, and poorly-shaped and -sized teeth very “technique-specific.” The results that you get from dental bonding and similar cosmetic procedures (like porcelain veneers) depend on the training, experience, and talents of the professional preparing and securing the dental material to the natural enamel surface. 

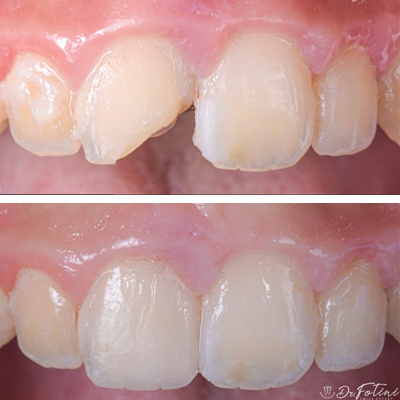
Before & After Results

Due to our know-how and complementary quality materials and tools, the composite material is designed to look, feel, and hold up like your natural tooth. And, since we account for the features of your smile and face, any improvements to your teeth bring out your unique, natural beauty. Patients also appreciate that, with bonding, we can: 

  • Dramatically improve the appearance of the smile
  • Preserve the utmost natural tooth structure
  • Painlessly alter the shape, surface appearance, length, shade, and other characteristics of a tooth without anestheticQuickly achieve or restore a confident smile in just one appointment – no return visits
  • Economically correct concerns that detract from the appearance of the smile

Frequently Asked Questions About Dental Bonding

Can dental bonding repair small chips or cracks in teeth?

Dental bonding effectively repairs minor chips or cracks. Your dentist applies a tooth-colored resin to the affected area and shapes it to restore the tooth’s natural appearance. This minimally invasive procedure requires no anesthesia unless the damage is near a nerve or extensive. Bonding is an affordable, fast solution often completed in one visit. While durable, it is not as strong as natural enamel or other restorations like crowns, so avoiding habits like nail-biting or chewing hard objects is essential. Bonding is a convenient option for restoring function and aesthetics.

Can I whiten my teeth after getting dental bonding?

Whitening teeth post-bonding can be challenging since the bonding material does not react to whitening agents like natural teeth. If you whiten after bonding, the bonded areas may remain their original shade while surrounding teeth lighten, leading to a mismatched look. It’s best to whiten your teeth first and match the bonding material to your new shade. If bonded teeth become discolored over time, your dentist may need to replace or touch up the bonding to ensure it blends well with your smile. Regular maintenance is crucial for a seamless appearance.

Does dental bonding help with closing gaps between teeth?

Dental bonding is ideal for closing small gaps, known as diastema. The tooth-colored resin is applied to the edges of adjacent teeth and shaped to fill the space, resulting in a natural look. This minimally invasive procedure is a great alternative to more extensive treatments like braces for minor gaps. However, your dentist might recommend options like Invisalign or orthodontics if the gap is large or complex. While effective, bonded material is not as strong as enamel, so maintaining good oral hygiene and avoiding certain habits is vital.

Can dental bonding be used on molars, or is it just for front teeth?

While dentists often perform dental bonding on front teeth for aesthetic purposes, they can also use this treatment on molars. If a molar has a small chip, crack, or cavity that doesn’t require extensive work, bonding can effectively repair it. However, since molars endure significant chewing forces, the resin may wear down faster than on front teeth. For more serious damage, your dentist might recommend a stronger restoration like a crown or onlay. Bonding can still be a good solution for minor issues, providing a quick and affordable fix.

Do I have to avoid certain foods after dental bonding, or may I eat normally?

You can generally resume normal eating habits after dental bonding. However, avoid foods that can stain or damage the bonded area, particularly in the first 24-48 hours. Sticky, hard, or overly crunchy foods can chip the material, while items like coffee, red wine, or berries may stain the resin, which is less discoloration-resistant than enamel. Avoid chewing ice, pens, or nails, as these can weaken the bonding. A balanced diet and caution with tough foods can help maintain the bonded area’s longevity.

Does dental bonding affect the structure of my natural tooth?

Dental bonding is minimally invasive and preserves most of your natural tooth structure. Unlike veneers or crowns, which require more extensive alterations, bonding typically involves minimal enamel removal. The composite resin is applied directly to the tooth’s surface, maintaining its integrity. This noninvasive approach allows for reversibility, meaning the resin can be removed or adjusted if necessary. While bonding protects your tooth’s structure, good oral hygiene is essential to prevent damage or decay.

How long does dental bonding last, and can it be redone if it wears out?

Dental bonding typically lasts three to ten years, depending on location, lifestyle habits, and oral hygiene. Bonded teeth in high-stress areas like molars may wear down more quickly, while those on front teeth often last longer. The resin can be readily remade or touched up but may chip, break, or discolor over time. Your dentist can refresh the appearance by applying new resin. Avoid hard objects, maintain excellent oral hygiene, and schedule regular dental checkups to extend the lifespan. With proper care, dental bonding offers lasting aesthetic and functional benefits.

Of course, bonding is just one of many cosmetic dentistry services available at our Tysons, VA office. Call (703) 625-6229 to schedule your consultation. Avanti Dentistry provides convenient scheduling options, including early mornings, late evenings, and Saturdays.